BOOK
APPOINTMENT
Home
Know Your Surgeon
Arthroplasty
Total Hip Replacement
Total Knee Replacement
Case Highlights
Rules & Regulations
Blog
FAQs
Contact
Home
Know Your Surgeon
Arthroplasty
Total Hip Replacement
Total Knee Replacement
Case Highlights
Rules & Regulations
Blog
FAQs
Contact
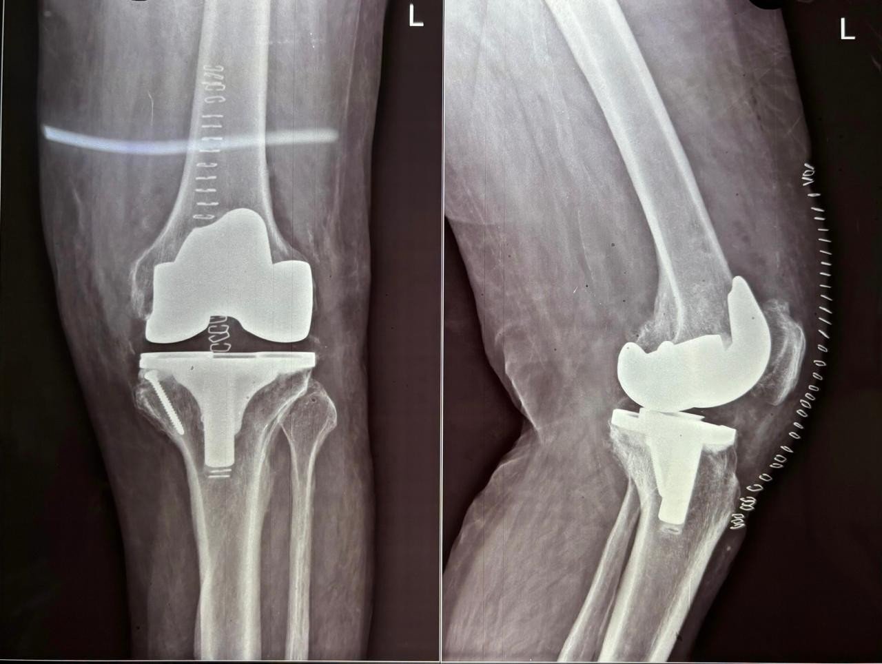
Pagoda Deformity with Flexion Contracture & Varus
Pre-Op X-Ray
Pre-Op Scanogram
Post-Op X-Ray
Post-Op Follow Up
Intra-Op (Photos)
1
2
3
4
5
6
7
8
Pagoda Deformity with Flexion Contracture & Varus
Stress Fracture of Tibia with Rigid Varus Deformity
OA Knee with Fixed Flexion Deformity & Non correctable Varus
Rheumatoid Arthritis with Prior Attempt of TKR
Stiff Knee with Flexion Contracture & Rigid Varus
OA Knee with Flexion Deformity & Loose body
Synovitis with Loose Body in Rheumatoid Arthritis
OA Knee with Correctable Varus Deformity
Rheumatoid Arthritis with Synovial Hypertrophy
OA Knee with External Rotation Deformity
1